Composite Veneers Vienna VA
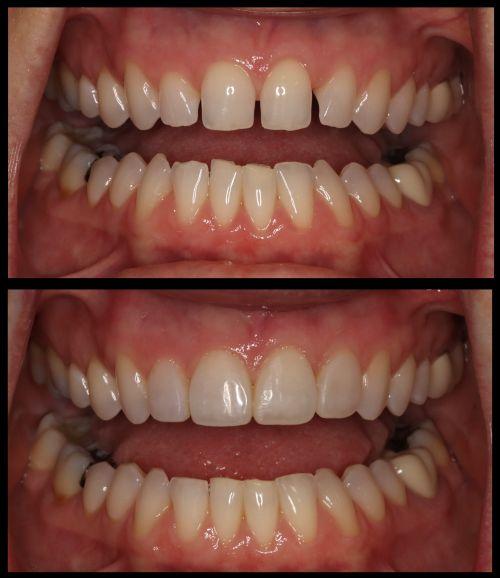
Have you ever wanted to improve your smile’s appearance, but you didn’t think it was possible without invasive, costly dental procedures? Today’s cosmetic dentistry offers numerous ways to enhance your smile, and composite veneers are one convenient, affordable option that might interest you.
At Vienna Family Dental, we can help you create a cosmetic treatment plan suited to your smile goals and budget.
Why Choose No-Prep Composite Veneers?
Dr. Paino has completed extensive training in the Marshall Hanson Method, an advanced approach to composite veneers that focuses on precision, artistry, and long-lasting natural results.
With years of dedication to cosmetic dentistry, Dr. Paino is passionate about creating confident smiles with the most conservative techniques available.
What Is the Marshall Hanson Method?
Developed by Dr. Marshall Hanson, this dental procedure focuses on creating a beautiful, natural-looking smile without removing any of your natural tooth enamel. The goal of this innovative approach is to preserve your healthy teeth while transforming the size, shape, color, and surface texture.
With advanced layering and shaping techniques, Dr. Paino creates a lifelike translucency. Using his artistic touch, he’ll customize your new smile, giving you a look that’s uniquely yours.
And with proper care, you can expect durability and long-lasting results.



